网站首页 > 信息速递 > 新闻动态 > 正文

新闻动态

中心人员指导的学生作品获奖

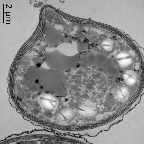
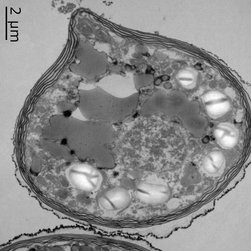
近日,“江苏省医学显微成像科研创新实践大赛” 成功举办,该赛事由江苏省医学类研究生教育指导委员会主办,南通大学承办。本次大赛是面向江苏省医学及相关学科研究生的科研创新比赛,旨在鼓励广大研究生在实验中以艺术视角打造“求真、求精、求美”的科学学术图片,提高仪器使用和图像处理分析水平,加强全省研究生间的学术交流合作,促进共同进步。

     中心陆彦老师指导的魏晓羽同学作品《孕育》荣获三等奖。


Contact Us

联系我们

业务联系:0514-87979022    87979383-808    0514-87979244
邮箱地址:cszx@yzu.edu.cn    办公地点:扬州市文汇东路48号扬州大学测试中心

测试中心官微

CopyRight © 2023 扬州大学测试中心 All Rights Reserved     苏公网安备 32100302010246号